Tes IHC Reseptor Estrogen: Prosedur, Interpretasi, dan Signifikansinya di Indonesia

Table of Contents

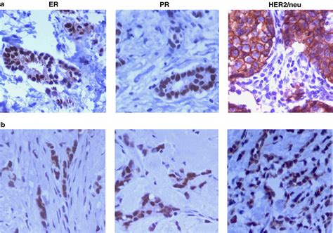
Estrogen Receptor IHC Test and interpretation


Di Indonesia, tes *Immunohistochemistry* (IHC) reseptor estrogen (ER) memainkan peran krusial dalam diagnosis dan penatalaksanaan kanker payudara. Tes ini membantu dokter menentukan apakah sel kanker memiliki reseptor estrogen, protein yang memungkinkan estrogen memengaruhi pertumbuhan sel.

Apa Itu Reseptor Estrogen dan Mengapa Penting?

Estrogen adalah hormon yang penting untuk perkembangan dan fungsi reproduksi wanita. Namun, pada beberapa kasus, estrogen dapat memicu pertumbuhan sel kanker payudara jika sel-sel tersebut memiliki reseptor estrogen.

Kanker payudara yang memiliki reseptor estrogen disebut kanker payudara ER-positif. Jenis kanker ini cenderung merespon terapi hormon, seperti tamoxifen atau inhibitor aromatase, yang bekerja dengan menghalangi efek estrogen.

Bagaimana Tes IHC Reseptor Estrogen Dilakukan?

Tes IHC ER dilakukan pada sampel jaringan kanker yang diperoleh melalui biopsi atau pembedahan. Sampel jaringan diproses dan ditempelkan pada slide mikroskop.

Kemudian, antibodi khusus yang mengikat reseptor estrogen ditambahkan ke slide. Antibodi ini biasanya terkonjugasi dengan pewarna yang memungkinkan reseptor estrogen terlihat di bawah mikroskop.

Interpretasi Hasil Tes IHC Reseptor Estrogen

Hasil tes IHC ER dilaporkan sebagai persentase sel kanker yang menunjukkan pewarnaan positif untuk reseptor estrogen. Skor ini biasanya berkisar antara 0% hingga 100%.

Secara umum, tumor dengan skor ER positif yang tinggi (misalnya, >1%) dianggap ER-positif dan cenderung merespon terapi hormon. Namun, interpretasi hasil harus selalu dilakukan oleh dokter patologi yang berpengalaman.

Baca Juga: Perempuan Modern dan Terapi Testosteron: Perubahan dalam Pernikahan & Kehidupan

Faktor-faktor yang Mempengaruhi Interpretasi

Beberapa faktor dapat memengaruhi interpretasi hasil tes IHC ER. Ini termasuk teknik fiksasi jaringan, kualitas antibodi yang digunakan, dan pengalaman ahli patologi.

Oleh karena itu, penting untuk memastikan bahwa tes IHC ER dilakukan di laboratorium yang terakreditasi dan menggunakan protokol standar.

Signifikansi Klinis Tes IHC Reseptor Estrogen di Indonesia

Di Indonesia, tes IHC ER merupakan bagian penting dari pemeriksaan kanker payudara rutin. Hasil tes ini membantu dokter menentukan rencana perawatan yang paling sesuai untuk setiap pasien.

Pasien dengan kanker payudara ER-positif sering kali mendapatkan manfaat dari terapi hormon sebagai bagian dari rencana perawatan mereka. Terapi hormon dapat membantu mengurangi risiko kekambuhan dan meningkatkan kelangsungan hidup.

Kesimpulan

Tes IHC reseptor estrogen adalah alat diagnostik yang penting untuk kanker payudara. Interpretasi yang akurat membantu mengarahkan pilihan pengobatan yang tepat bagi pasien di Indonesia.

Penting bagi pasien untuk berdiskusi dengan dokter mereka mengenai hasil tes IHC ER dan bagaimana hasilnya memengaruhi rencana perawatan mereka. Memahami informasi ini adalah langkah krusial dalam perjalanan melawan kanker payudara.



Pertanyaan Umum (FAQ)

Apa itu tes IHC reseptor estrogen?

Tes IHC reseptor estrogen adalah pemeriksaan untuk mengetahui apakah sel kanker payudara memiliki reseptor estrogen, protein yang memungkinkan estrogen mempengaruhi pertumbuhan sel.

Mengapa tes IHC reseptor estrogen penting?

Hasil tes ini membantu dokter menentukan apakah pasien akan merespon terapi hormon, seperti tamoxifen atau inhibitor aromatase.

Bagaimana hasil tes IHC reseptor estrogen diinterpretasikan?

Hasilnya dilaporkan sebagai persentase sel kanker yang positif reseptor estrogen. Semakin tinggi persentase, semakin besar kemungkinan merespon terapi hormon.

Apakah ada faktor yang dapat mempengaruhi hasil tes IHC reseptor estrogen?

Ya, teknik fiksasi jaringan, kualitas antibodi, dan pengalaman ahli patologi dapat memengaruhi interpretasi hasil.

Apakah pasien dengan kanker payudara ER-positif selalu memerlukan terapi hormon?

Tidak selalu. Dokter akan mempertimbangkan faktor lain, seperti stadium kanker dan kondisi kesehatan pasien secara keseluruhan, untuk menentukan rencana perawatan terbaik.

Ikuti dan Dukung Infolabmed.com

Mari terhubung melalui media sosial dan dukung perkembangan website Infolabmed.com

Follow Media Sosial Infolabmed.com

📢

Telegram

Follow
👍

Facebook

Follow
🐦

Twitter/X

Follow

Dukungan untuk Infolabmed.com

Beri Donasi untuk Perkembangan Website

Dukung Infolabmed.com dengan memberikan donasi terbaikmu melalui DANA. Setiap kontribusi sangat berarti untuk pengembangan dan pemeliharaan website.

Donasi via DANA

Produk Infolabmed

Alat Pemeriksaan Glukosa Darah

Nama Produk: PORLAK BGM-102 - Alat Cek Gula Darah Digital Akurat, Hasil 5 Detik, Bonus Lancet & Baterai

Harga: Rp 270.000

© 2025 Infolabmed.com | Terima kasih atas dukungannya

Infolabmed
Infolabmed infolabmed.com merupakan kanal informasi tentang Teknologi Laboratorium Medik meliputi Materi Kuliah D3 dan D4, Informasi Seminar ATLM, Lowongan Kerja. Untuk dukung website infolabmed tetap aktif silahkan ikut berdonasi melalui DANA = 085862486502.

Post a Comment