Studi Chicago: Deteksi Dini Kanker Paru untuk Wanita & Usia Muda - Northwestern Medicine

CHICAGO (WLS) - Sebuah terobosan penting dalam upaya memerangi kanker paru-paru datang dari Northwestern Medicine di Chicago. Mereka meluncurkan pusat kesehatan paru-paru baru yang dirancang untuk mendeteksi kanker paru-paru pada usia yang lebih dini. Langkah ini merupakan respons terhadap penelitian terbaru yang menunjukkan peningkatan kasus kanker paru-paru pada wanita muda dan mereka yang bukan perokok.
Pusat kesehatan paru-paru ini bertujuan untuk meningkatkan peluang deteksi dini, yang sangat penting untuk keberhasilan pengobatan. Para dokter di Northwestern Medicine menekankan bahwa hampir 80% kasus kanker paru-paru baru terdeteksi pada stadium lanjut. Oleh karena itu, penurunan usia skrining diharapkan dapat memberikan harapan hidup yang lebih baik bagi pasien.
Dampak Kanker Paru-Paru pada Kelompok Rentan
Salah satu kisah yang menginspirasi datang dari Danielle Hoeg, seorang wanita yang didiagnosis menderita kanker paru-paru tanpa gejala. "Saya tidak punya gejala," kata Hoeg. "Saya tidak tahu saya sakit. Saya menjaga diri saya. Saya tidak merokok." Pengalaman Hoeg menyoroti pentingnya deteksi dini, bahkan pada individu yang dianggap sehat.
Hoeg menggambarkan bagaimana ia seringkali berpikir tentang kemungkinan wanita muda lain yang ditemuinya di jalan menderita penyakit yang sama. Ia bertanya-tanya apakah ia harus menghentikan mereka dan menyarankan mereka untuk melakukan pemeriksaan. Kesadaran akan risiko ini mendorong pentingnya skrining yang lebih luas.
Riset Mendukung Perubahan Rekomendasi Skrining
Penelitian yang dilakukan oleh Northwestern Medicine menemukan bahwa rekomendasi skrining kanker paru-paru saat ini memiliki keterbatasan. Berdasarkan data dari U.S. Preventive Services Task Force, hanya 35% dari hampir 1.000 pasien kanker paru-paru yang dirawat di Northwestern yang memenuhi syarat untuk skrining.
Hal ini mendorong Northwestern Medicine untuk memperluas program skrining CT dosis rendah. Mereka akan menyediakan fasilitas yang lebih komprehensif untuk mendeteksi kondisi paru-paru, jantung, dan tulang sejak dini. Langkah ini diharapkan dapat menjangkau lebih banyak individu yang berisiko.
Baca Juga: Mesothelioma dan Kanker Paru: Perbedaan, Penyebab, dan Penanganan
Perubahan Usia Rekomendasi: Kunci untuk Deteksi Dini
Dr. Ankit Bharat dari Lung Cancer Center mengatakan, "Jika kita memperluas skrining mulai usia 40 tahun ke atas, dan menghilangkan skrining berbasis risiko, kita benar-benar dapat menangkap sebagian besar kanker paru-paru pada stadium awal." Perubahan ini sangat penting untuk meningkatkan peluang penyembuhan.
Saat ini, rekomendasi skrining tahunan untuk kanker paru-paru berlaku bagi orang dewasa berusia 50 tahun ke atas yang merokok atau berhenti merokok dalam 15 tahun terakhir. Dr. Bharat menjelaskan bahwa penelitian mereka menemukan rekomendasi saat ini mengecualikan dua pertiga dari pasien. Hal ini berdampak secara tidak proporsional pada wanita dan mereka yang bukan perokok.
Harapan untuk Masa Depan yang Lebih Baik
Perubahan rekomendasi usia skrining diharapkan dapat menyelamatkan lebih banyak nyawa. Dr. Bharat menambahkan, "Kita dapat mencapai tujuan deteksi kanker paru-paru pada stadium awal, lebih dari 80% dari waktu, jika model itu diikuti." Optimisme ini didukung oleh komitmen Northwestern Medicine terhadap peningkatan kesehatan masyarakat.
Danielle Hoeg berbagi pengalamannya untuk meningkatkan kesadaran publik. "Saya terus-menerus memikirkan betapa beruntungnya saya, dan saya ingin wanita lain, orang muda lainnya, memiliki keberuntungan yang sama seperti saya," katanya. Kisahnya menjadi pengingat tentang pentingnya kesadaran dan deteksi dini.
Skrining Cepat dan Efektif
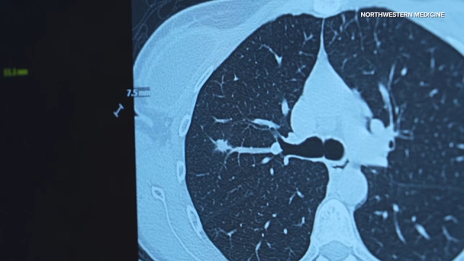
Skrining dini di Northwestern Medicine menggunakan pemindaian yang memakan waktu kurang dari 10 detik. Proses ini tidak memerlukan pewarna tambahan tetapi memberikan gambaran lengkap tentang rongga dada. Hasil pemindaian tersebut menghasilkan gambar dasar yang dapat disimpan pasien sepanjang hidup.
Meskipun rekomendasi skrining tidak bersifat universal, Northwestern Medicine menawarkan skrining gratis di Lung Health Center mereka. Hal ini memungkinkan akses yang lebih mudah bagi mereka yang berisiko, terutama bagi wanita dan mereka yang bukan perokok di bawah usia 50 tahun yang mungkin tidak memenuhi syarat untuk skrining yang ditanggung asuransi.
Ikuti dan Dukung Infolabmed.com
Mari terhubung melalui media sosial dan dukung perkembangan website Infolabmed.com
Dukungan untuk Infolabmed.com
Beri Donasi untuk Perkembangan Website
Dukung Infolabmed.com dengan memberikan donasi terbaikmu melalui DANA. Setiap kontribusi sangat berarti untuk pengembangan dan pemeliharaan website.
Donasi via DANAProduk Infolabmed
Nama Produk: PORLAK BGM-102 - Alat Cek Gula Darah Digital Akurat, Hasil 5 Detik, Bonus Lancet & Baterai
Harga: Rp 270.000
© 2025 Infolabmed.com | Terima kasih atas dukungannya
Post a Comment